Innan tänderna är färdiga finns de i käkbenet.
De ligger där och mognar. När en tand börjar bli klar trycker den sig uppåt. Då kan man se att tanden kommer upp genom tandköttet. Ibland fungerar inte det här som det ska. Då stannar tanden kvar nere i käkbenet. Det kan bero på flera olika saker. Till exempel kan tänderna runtomkring sitta så tätt att tanden inte får plats att tränga sig upp mellan dem. Ibland kan tanden ha hamnat snett nere i käken. Då kan den försöka trycka sig åt sidan istället för uppåt. Det kan också vara så att tanden har fastnat i käken och inte orkar trycka sig uppåt.
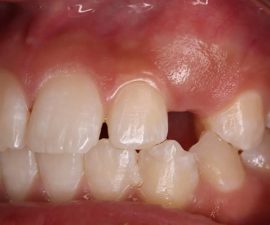
De första tänderna som man får i livet kallas för mjölktänder.
De ligger och mognar i bebisens käke innan de trycker sig upp genom tandköttet. Om en mjölktand fastnar i käken får bebisen ingen mjölktand alls. Det blir tomt där tanden skulle ha suttit. Ibland börjar mjölktanden växa upp när barnet är lite större och då löser sig problemet av sig själv. Ibland kan tandläkaren behöva ta bort mjölktanden i käken. Då får man bedövning så att det inte känns så mycket.
Efter mjölktänderna får man vuxentänder.
Då har vuxentänderna mognat klart i käken. De ligger alltså och mognar under mjölktänderna. När vuxentänderna trycker sig uppåt skaver de mot mjölktandens rot. Det är roten som håller fast mjölktanden i käken. Till slut har hela roten skavts bort och då blir mjölktanden lös och lossnar. Om vuxentanden inte kan trycka sig uppåt blir det inget skav på roten och då sitter mjölktanden kvar på sin plats. Ibland sitter den kvar hela livet. Fast oftast går den sönder någon gång när man är vuxen och i så fall tar tandläkararen bort den.
Några vuxentänder växer upp utan att först behöva skava bort en mjölktand.
Det beror på att små barn har små munnar. I så små munnar får det bara plats 20 mjölktänder. När barnet växer och blir större blir också munnen större och till slut finns det plats för 32 tänder. De flesta vuxna har mellan 28 och 32 tänder.
Om man har en vuxentand som inte kommer fram finns det flera sätt att ordna det.
Om det sitter en mjölktand där den nya tanden ska växa fram kan tandläkaren ta bort mjölktanden. Då slipper vuxentanden skava bort roten och kan lättare trycka sig uppåt. Ett annat sätt är att ha en tandställning som långsamt drar upp tanden. Det tar ofta flera år. Ibland kan man behöva operera bort tanden i käken. Då får man bedövning för att det inte ska kännas så mycket. Ibland kan man få sova gott med hjälp av narkos under operationen.
Alla barn får gå gratis till tandläkaren.
Det är viktigt att du går dit när tandläkaren säger att det är dags för kontroll. Då kan tandläkaren röntga dina tänder. På röntgenbilderna kan tandläkaren upptäcka om du har en tand som verkar ha svårt att växa upp ur käken och komma fram.
